Product & ReviewsAntibodies
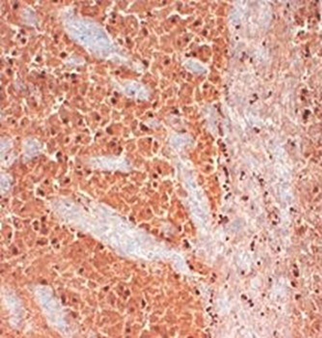
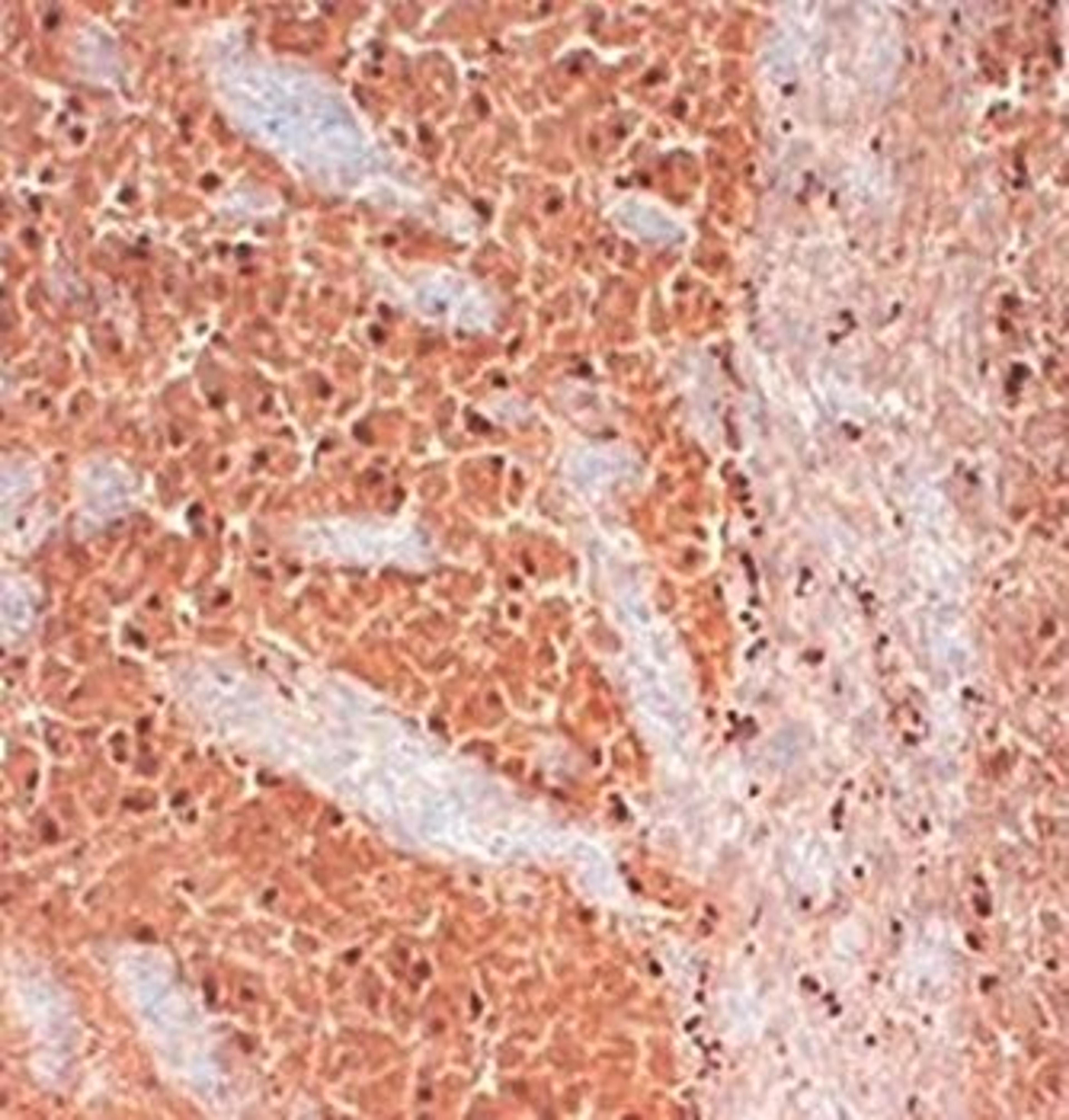
Tsp23 antibody
Product Details
- Cat. No.
- orb67382
- Type
- Primary Antibody
- Clonality
- Monoclonal
- Host
- Mouse

The supplier does not provide quotations for this antibody through SelectScience. You can search for similar antibodies in our Antibody Directory.
Description
Mouse monoclonal to Tsp23. Detects ~19kDa. Detects Tsp23, no cross-reactivity to p23.
Biological Information
- Clonality: Monoclonal
- Host: Mouse
- Reactivity: Human
- Clone: Tsp232A
- Isotype: IgG1 Kappa
Handling
- Quantity: 100 µl
- Storage: At -20°C for one year. After reconstitution at 4°C for two weeks. It can also be aliquotted and stored frozen at -20°C for a longer time.
- Buffer: PBS, 50% glycerol, 0.09% sodium azide
Applications
- Immunohistochemistry (Paraffin-Embedded Sections) (IHC (P))
- Western Blotting (WB)


