Product & ReviewsAntibodies
UBA6 antibody
Product Details
- Cat. No.
- orb248041
- Type
- Primary Antibody
- Clonality
- Polyclonal
- Host
- Rabbit

The supplier does not provide quotations for this antibody through SelectScience. You can search for similar antibodies in our Antibody Directory.
Description
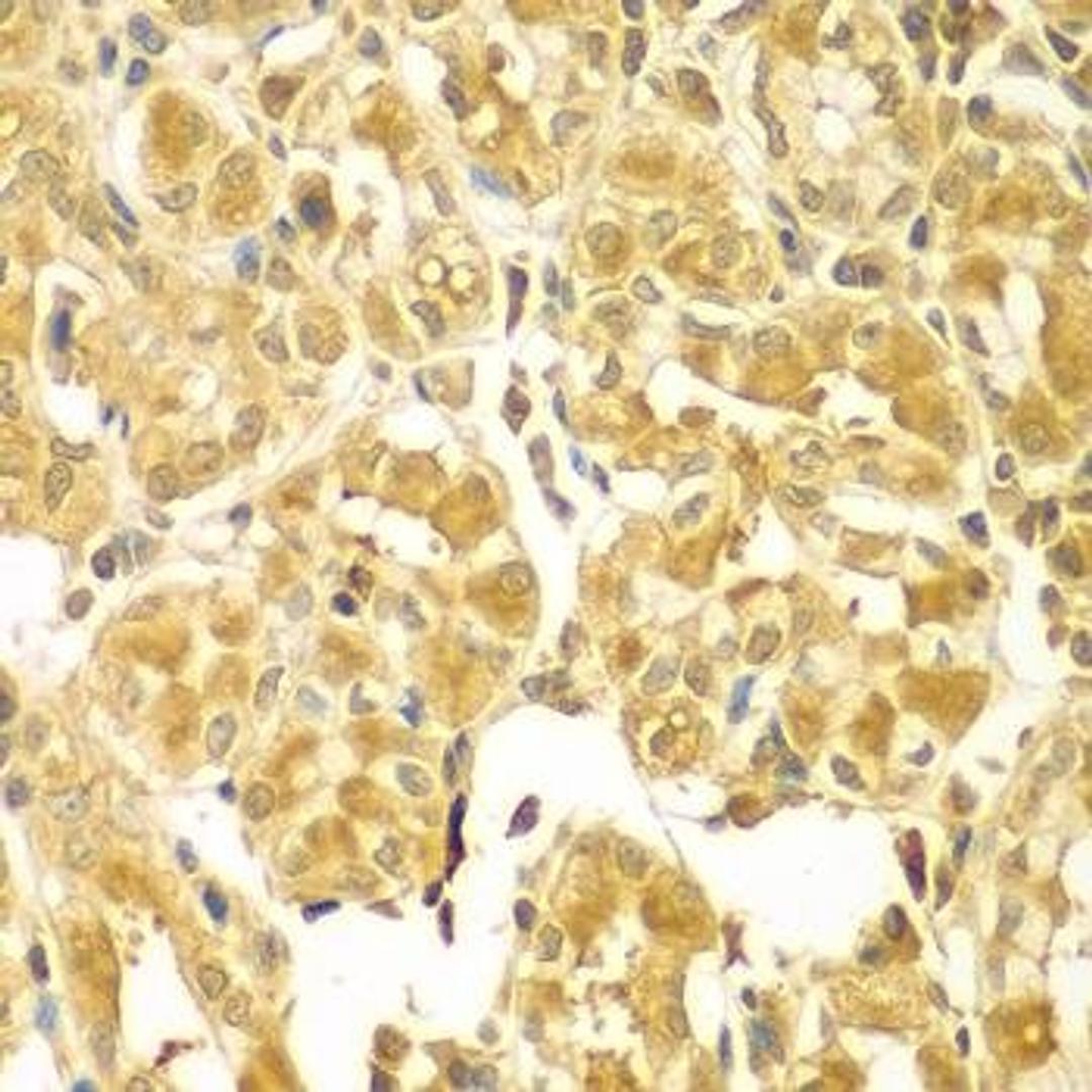
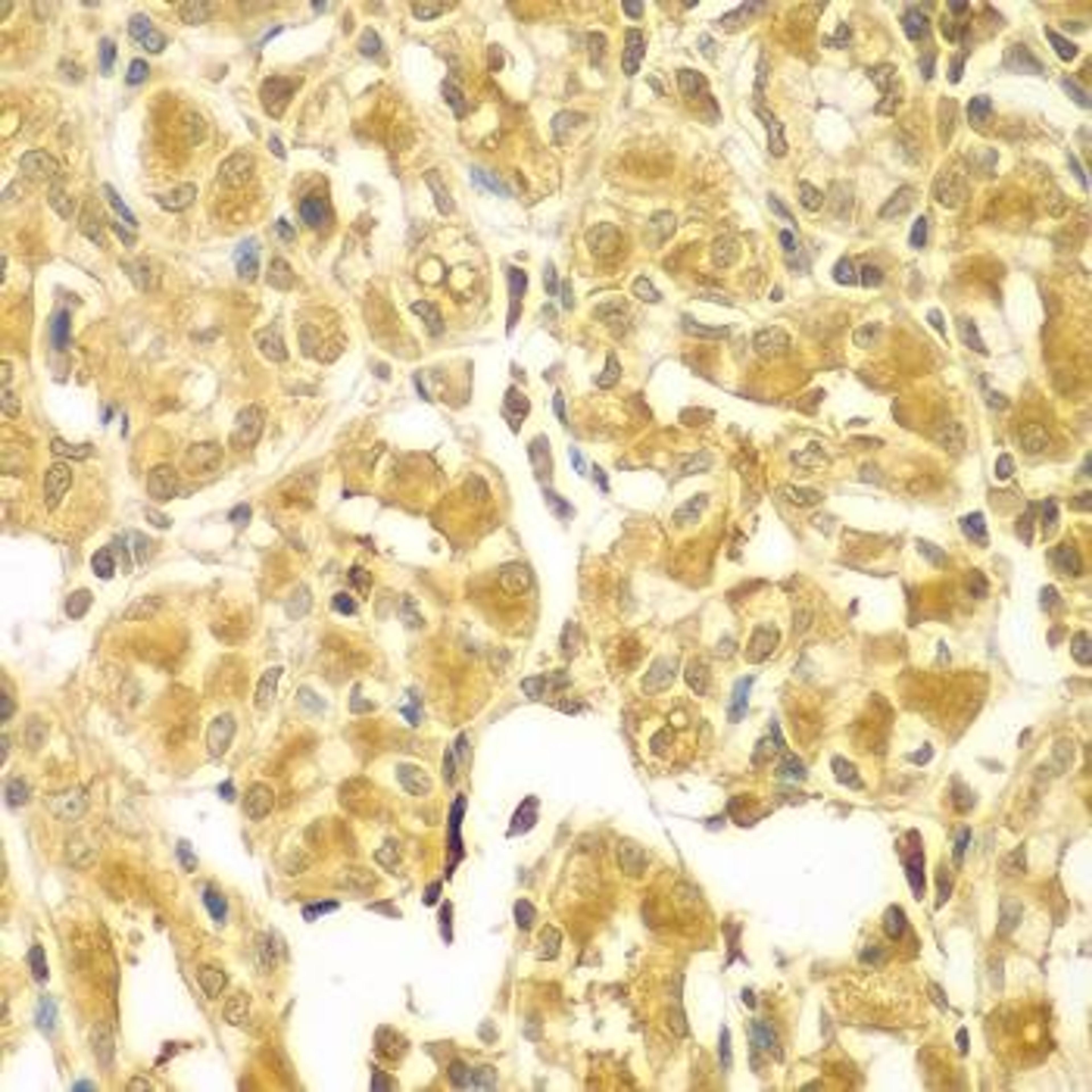
Rabbit polyclonal antibody to UBA6
Biological Information
- Clonality: Polyclonal
- Host: Rabbit
- Reactivity: Human, Mammalian, Mouse
- Isotype: IgG
- Gene: 963
Handling
- Quantity: 50 Assays, 100 Assays
- Storage: store at 4°C for one year
- Buffer: Liquid in PBS, pH 7.3, 0.2% BSA, and 0.02% sodium azide.
Applications
- Immunofluorescence (Paraffin-Embedded Sections) (IF (P))
- Immunohistochemistry (Paraffin-Embedded Sections) (IHC (P))
- Western Blotting (WB)


