Product & ReviewsAntibodies
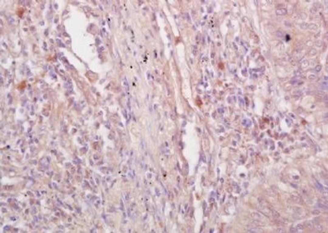
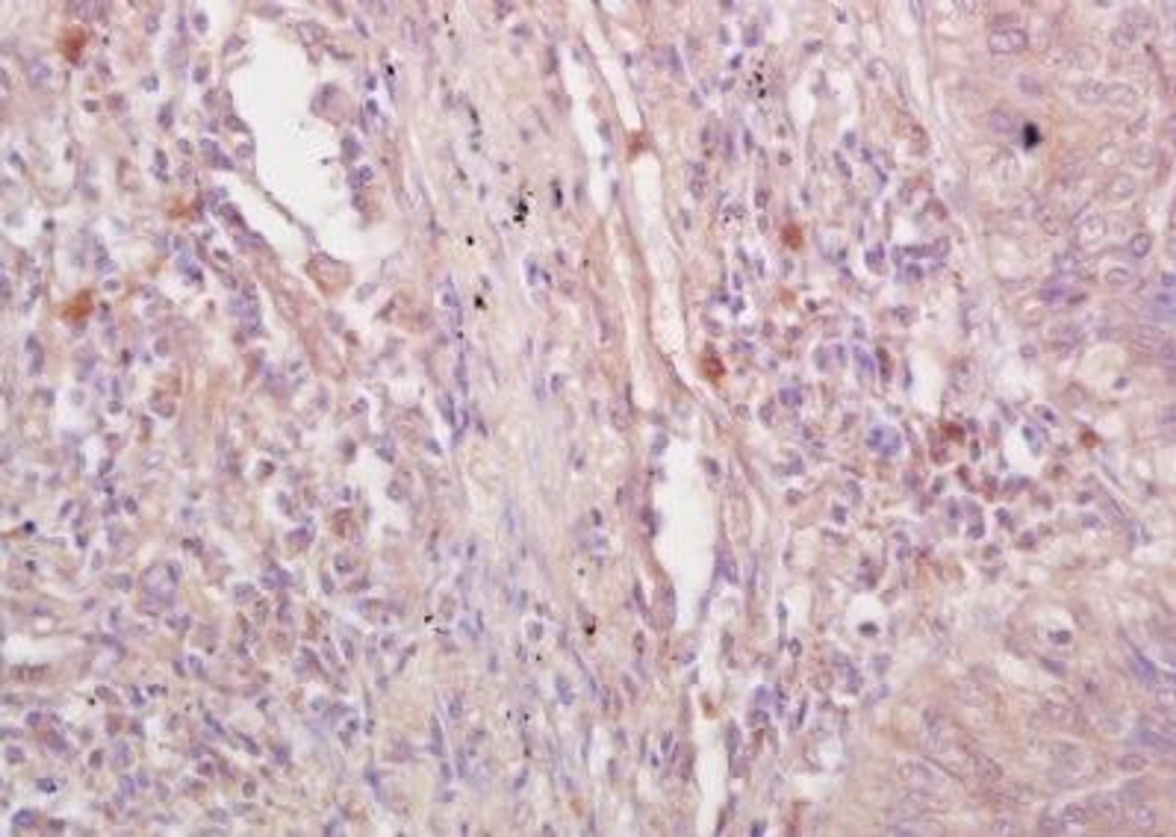
Utrophin antibody
Product Details
- Cat. No.
- orb158699
- Type
- Primary Antibody
- Clonality
- Polyclonal
- Host
- Rabbit

The supplier does not provide quotations for this antibody through SelectScience. You can search for similar antibodies in our Antibody Directory.
Description
Rabbit polyclonal antibody to Utrophin, which is also known as DRP-1 and DMDL. Utrophin is frequently found in the nucleoplasm and is expressed in the autopod of the limbs and retina in the eyes. It is overexpressed in the peripheral blood mononuclear cel
Biological Information
- Clonality: Polyclonal
- Host: Rabbit
- Reactivity: Bovine, Dengue Virus (DENV), Human, Mammalian, Mouse
- Isotype: IgG
Handling
- Quantity: 100 µg
- Storage: Store at -20°C for a year
- Buffer: PBS, 50% glycerol, 0.5% BSA and 0.02% sodium azide.
Applications
- ELISA (ELISA)


