Product & ReviewsAntibodies
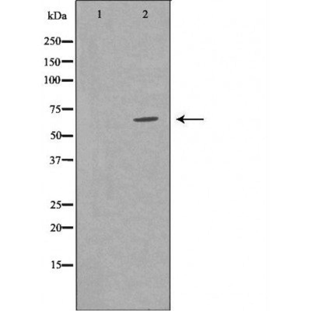
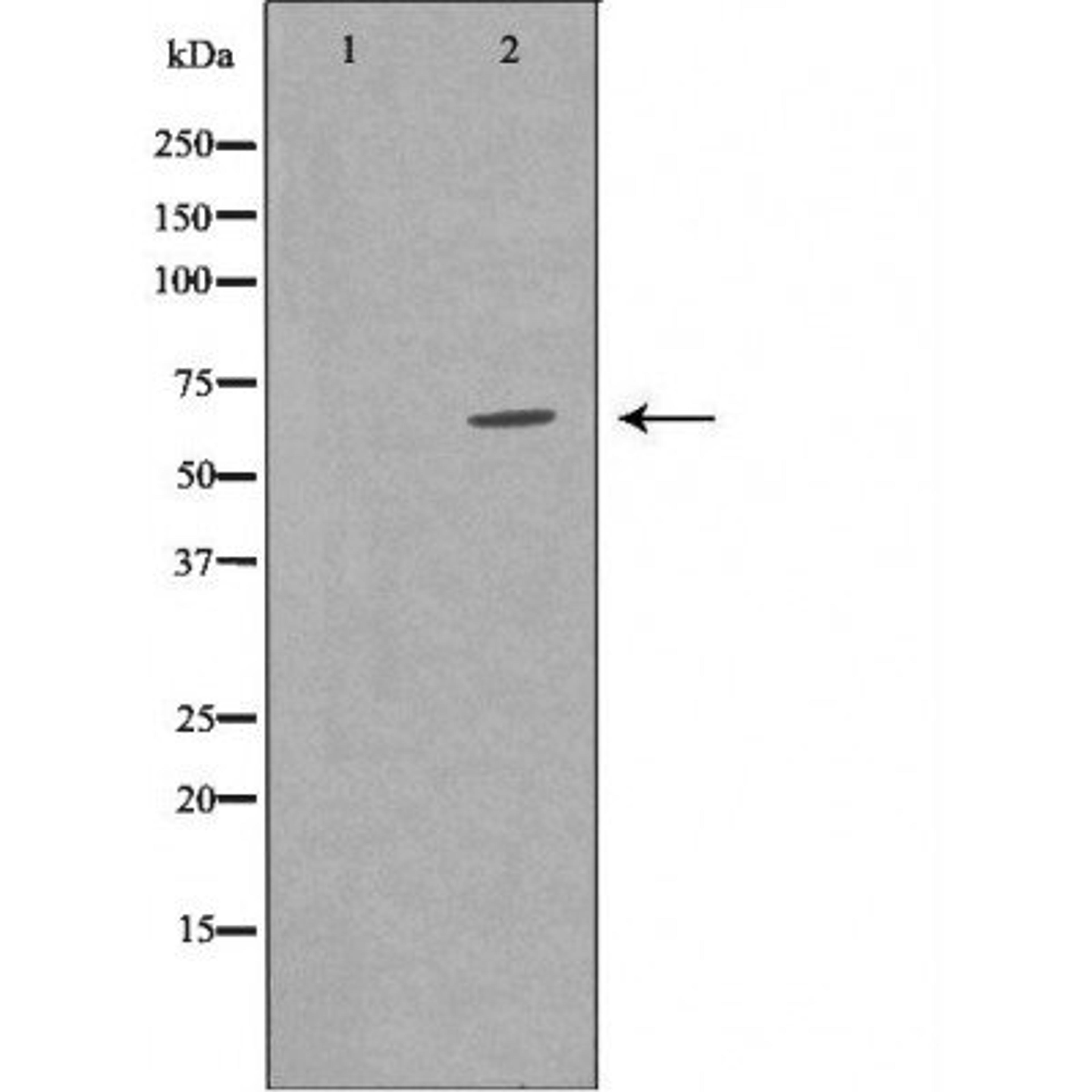
UTS2R antibody
Product Details
- Cat. No.
- orb229254
- Type
- Primary Antibody
- Clonality
- Polyclonal
- Host
- Rabbit

The supplier does not provide quotations for this antibody through SelectScience. You can search for similar antibodies in our Antibody Directory.
Description
Rabbit polyclonal antibody to UTS2R
Biological Information
- Clonality: Polyclonal
- Host: Rabbit
- Reactivity: Human, Mammalian, Mouse
- Isotype: IgG
Handling
- Quantity: 100 µl, 20 µl, 50 µl
- Storage: Store at 4°C for short term and at -20°C for long term storage
- Buffer: PBS, pH 7.4, 150mM NaCl, 0.02% sodium azide and 50% glycerol
Applications
- Western Blotting (WB)


