Product & ReviewsAntibodies
Vaccinia Virus antibody
Product Details
- Cat. No.
- orb23080
- Type
- Primary Antibody
- Clonality
- Polyclonal
- Host
- Rabbit

The supplier does not provide quotations for this antibody through SelectScience. You can search for similar antibodies in our Antibody Directory.
Description
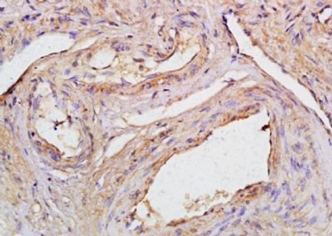
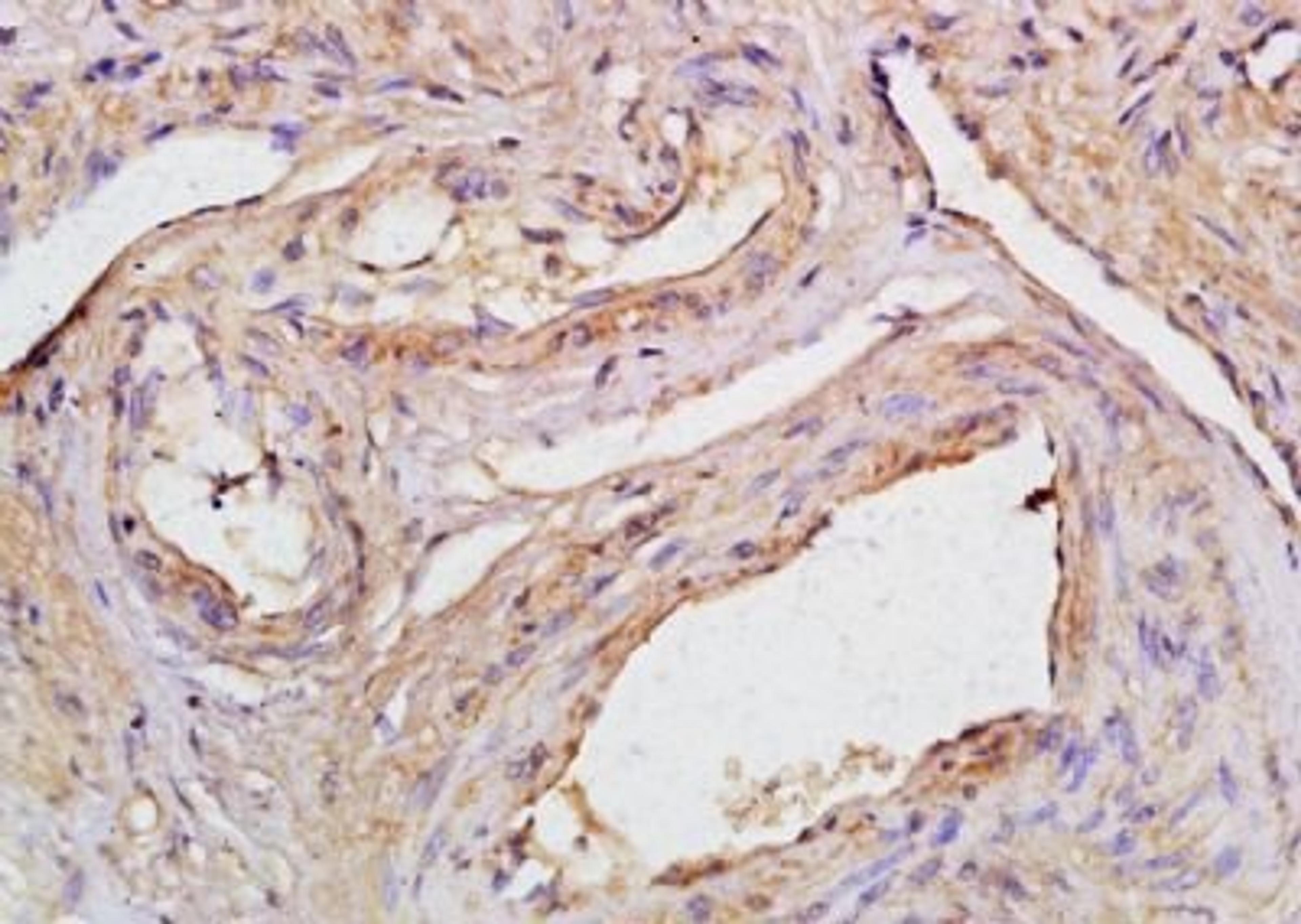
Vaccinia Virus (Lister Strain) is a rabbit polyclonal antibody to infectious agent/toxin.
Biological Information
- Clonality: Polyclonal
- Host: Rabbit
- Reactivity: Virus
- Gene: 115650
Handling
- Quantity: 200 µl, 30 µl (Trial size), 100 µl
- Storage: Store at 4°C for short term. Upon delivery aliquot and store at -20°C for long term. Avoid freeze/thaw cycles.
- Buffer: Liquid in 0.42% Potassium phosphate, 0.87% Sodium chloride, pH 7.3, 30% glycerol, and 0.01% sodium azide.
Applications
- ELISA (ELISA)
- Immunohistochemistry (Paraffin-Embedded Sections) (IHC (P))


