Product & ReviewsAntibodies
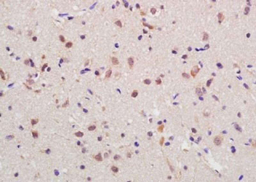
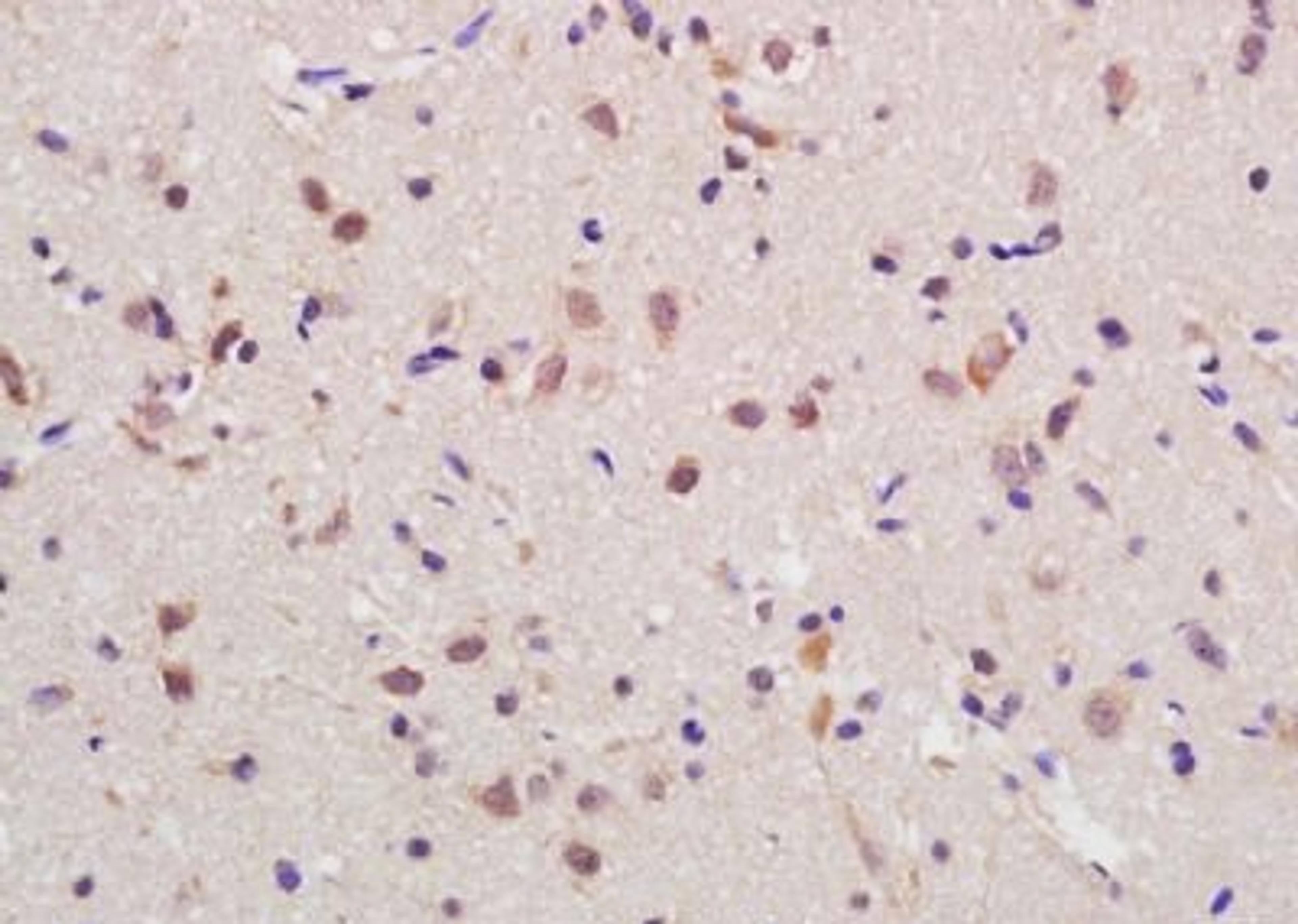
VZV (gpII) antibody
Product Details
- Cat. No.
- orb23629
- Type
- Primary Antibody
- Clonality
- Polyclonal
- Host
- Mouse

The supplier does not provide quotations for this antibody through SelectScience. You can search for similar antibodies in our Antibody Directory.
Description
Varicella-Zoster Virus (VZV) (gpII) (VZVgB) is a mouse monoclonal antibody to infectious agent/toxin.
Biological Information
- Clonality: Polyclonal
- Host: Mouse
- Reactivity: Virus
- Clone: SG2-2E6
- Isotype: IgG1
Handling
- Quantity: 100 µg, 50 µg
- Storage: Shipped at 4°C for short term, Upon delivery aliquot and store at -20°C or -80°C Avoid repeated freeze.
- Buffer: 0.03% Proclin 300 Constituents: 50% Glycerol, 0.01M PBS, PH 7.4
Applications
- Immunofluorescence (Paraffin-Embedded Sections) (IF (P))
- Immunoprecipitation (IP)
- Western Blotting (WB)


