Product & ReviewsAntibodies
XIRP1 antibody
Product Details
- Cat. No.
- orb31699
- Type
- Primary Antibody
- Clonality
- Monoclonal
- Host
- Rabbit

The supplier does not provide quotations for this antibody through SelectScience. You can search for similar antibodies in our Antibody Directory.
Description
Peptide affinity purified rabbit polyclonal antibody.
Biological Information
- Clonality: Monoclonal
- Host: Rabbit
- Reactivity: Human
- Isotype: IgG
- Gene: 55186
Handling
- Quantity: 100 µg
- Storage: Store at 4°C for up to two weeks. For long term storage, aliquot and store at -20°C, avoid freeze/thaw cycles.
- Buffer: 0.01M TBS (pH7.4) 0.5% BSA 0.015% Proclin300 25% glycerol
Applications
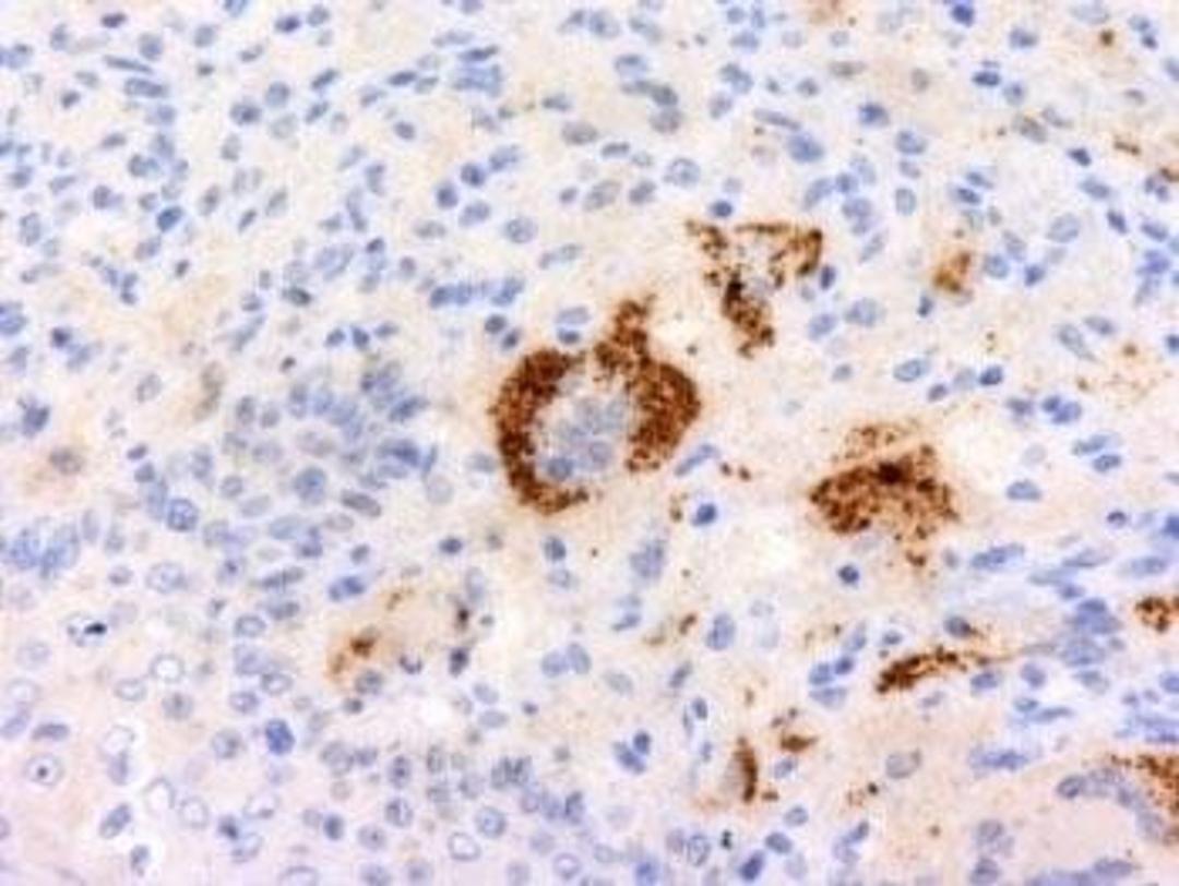
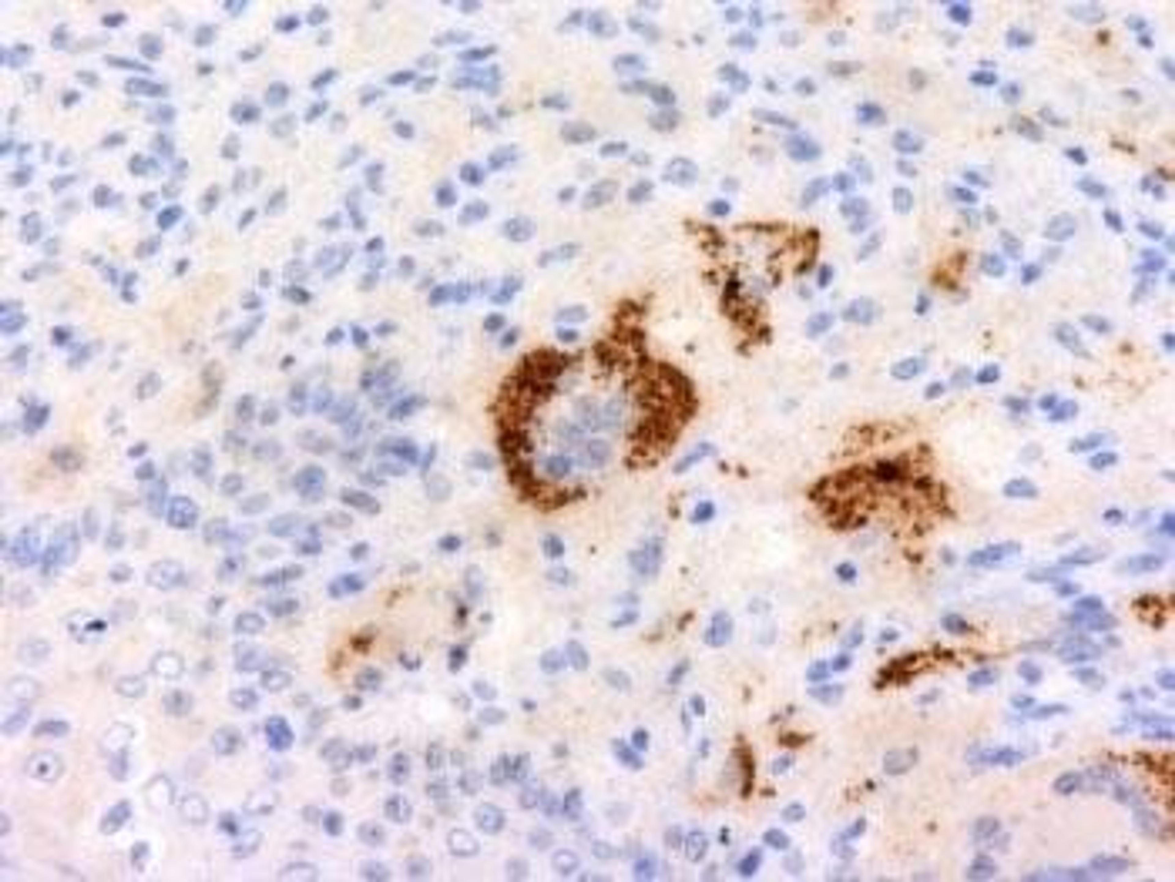
- Immunohistochemistry (Paraffin-Embedded Sections) (IHC (P))
- Western Blotting (WB)


