Product & ReviewsAntibodies
XRCC5 antibody
Product Details
- Cat. No.
- orb178552
- Type
- Primary Antibody
- Clonality
- Polyclonal
- Host
- Rabbit

The supplier does not provide quotations for this antibody through SelectScience. You can search for similar antibodies in our Antibody Directory.
Description
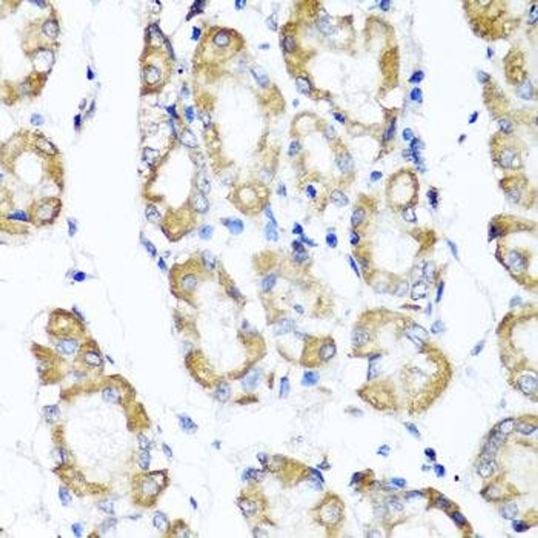
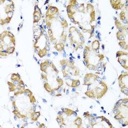
Rabbit polyclonal antibody to XRCC5
Biological Information
- Clonality: Polyclonal
- Host: Rabbit
- Reactivity: Human
- Isotype: IgG
- Gene: 54915
Handling
- Quantity: 50 µl
- Storage: Store at -20°C for up to one year.
- Buffer: PBS (without Mg2+, Ca2+), pH 7.4, 150 mM sodium chloride, 0.02% sodium azide, 50% glycerol
Applications
- Immunofluorescence (Paraffin-Embedded Sections) (IF (P))
- Immunohistochemistry (Paraffin-Embedded Sections) (IHC (P))
- Western Blotting (WB)


