Product & ReviewsAntibodies
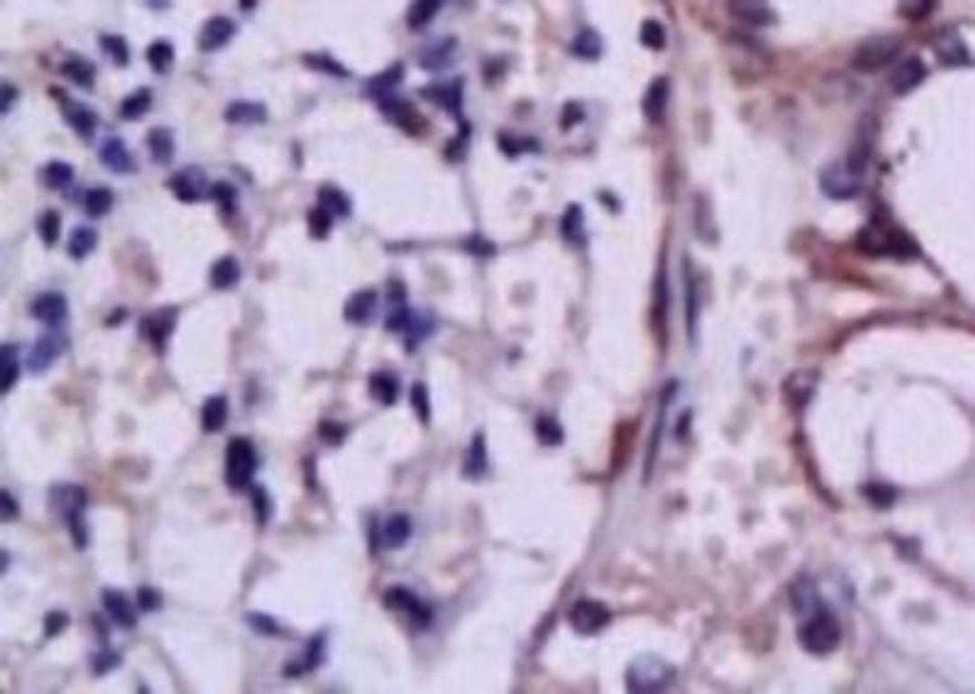
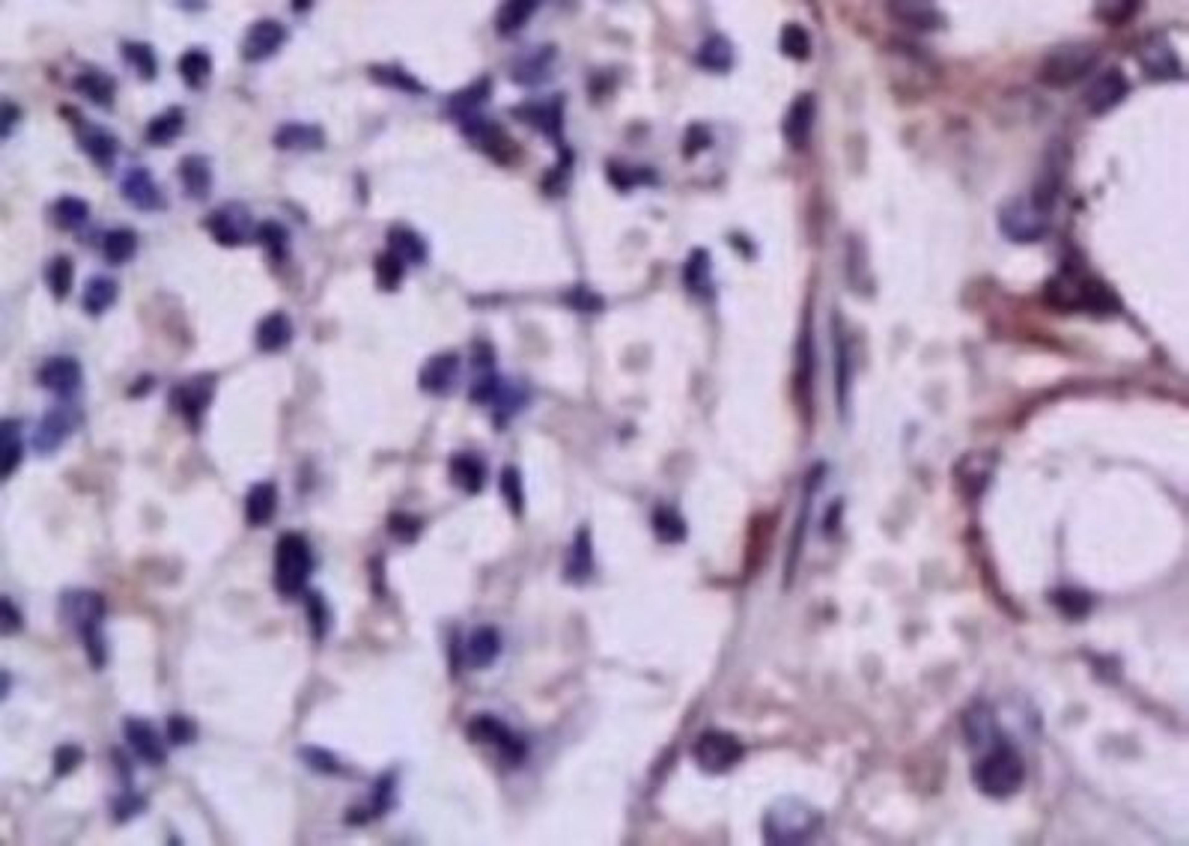
YAP1 antibody
Product Details
- Cat. No.
- orb5629
- Type
- Primary Antibody
- Clonality
- Polyclonal
- Host
- Rabbit

The supplier does not provide quotations for this antibody through SelectScience. You can search for similar antibodies in our Antibody Directory.
Description
Rabbit polyclonal antibody to YAP1 which is also known as Protein yorkie homolog and YAP65 whose expression can be detected in the neurons but its major expression is seen in the liver and prostate cancer. It is found in the nucleus. It can perform functi
Biological Information
- Clonality: Polyclonal
- Host: Rabbit
- Reactivity: Bovine, Human, Mammalian, Mouse, Rabbit (Lapine)
- Isotype: IgG
- Gene: 4190
Handling
- Quantity: 5 µg (Trial Size), 20 µg (Trial Size), 100 µg, 200 µg
- Storage: Store at 4°C for up to two weeks. For long term storage, aliquot and store at -20°C, avoid freeze/thaw cycles.
- Buffer: 10 mM PBS, pH 7.4 with 10 mg/ml BSA, 0.03% Proclin 300 and 25% glycerol
Applications
- ELISA (ELISA)
- Immunofluorescence (Paraffin-Embedded Sections) (IF (P))
- Immunohistochemistry (Frozen Sections) (IHC (Fr))
- Immunohistochemistry (Paraffin-Embedded Sections) (IHC (P))
- Western Blotting (WB)


