Bruker Spatial Biology to announce groundbreaking advances at AGBT 2025
Advancements to include CosMx® Whole Transcriptome Panel; enhanced technology engine to power CellScape™ for spatial proteomics; expansion to 1000-plex protein assay on GeoMx® DSP; and launch of PaintScape™, a revolutionary platform enabling direct visualization of the 3D genome
25 Feb 2025Bruker Corporation announced that it will unveil significant advancements in spatial biology at the 2025 Advances in Genome Biology and Technology (AGBT) General Meeting. Bruker Spatial Biology will announce the following four innovations that underscore Bruker’s leading commitment to advancing spatial biology with pioneering, best-in-class platforms:
- The first and only Whole Transcriptome Panel (WTX) on the subcellular resolution CosMx Spatial Molecular Imager (SMI) platform
- The new PaintScape platform for direct visualization of the 3D genome
- The new CellScape PowerOMX™ software engine, developed to optimize the performance of the new EpicIF technology on the CellScape spatial proteomics platform
- A doubling of the GeoMx protein panel to an unprecedented 1,000 plex for the highest level of tissue multiomics
CosMx Whole Transcriptome Panel (WTX) enables deeper insights into biological mechanisms
The Whole Transcriptome Panel for Bruker’s CosMx Spatial Molecular Imager (SMI) represents a breakthrough in spatial biology. With the ability to detect and quantify over 18,000 RNA transcripts at single-cell and subcellular resolution, the WTX assay enables comprehensive spatial transcriptomics. The intricate molecular heterogeneity of tissues can be explored with unprecedented detail, unlocking deeper discoveries in oncology, neuroscience, immunology, and developmental biology.
“The WTX assay produces data on par with traditional single cell RNA sequencing in terms of genomic breadth, while preserving spatial single cell resolution — this unlocks a tremendous opportunity for discovery and validation of biology,” said Parambir Dulai, M.D., Associate Professor of Medicine at Northwestern University, who applied the CosMx WTX assay in an early access program.
“The CosMx Whole Transcriptome Panel represents a significant leap forward for spatial biology accelerating discoveries in translational research and precision medicine,” said Joe Beechem, Ph.D., Chief Scientific Officer at Bruker Spatial Biology. “Researchers can now analyze the expression of the entire protein-coding transcriptome from every cell in their sample, while preserving the spatial relationships of the cells at sub-cellular resolution. This enables a more comprehensive understanding of pathways and interactions for uncovering novel biological mechanisms. We believe the WTX assay will be the primary choice for single cell analysis on fresh frozen or FFPE tissue samples for advanced applications that are currently limited to single cell RNA-seq.”
Orders for the CosMx Human Whole Transcriptome Panel will commence in April with commercial shipments expected this summer. A Mouse Whole Transcriptome Panel is expected to launch later in 2025.
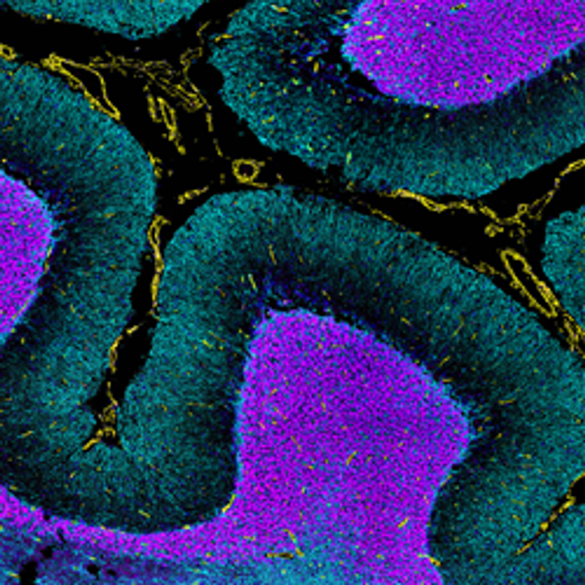
GeoMx to offer high plex spatial multiomics

Human colon tissue assayed with the GeoMx DSP multiomics platform.
On the GeoMx DSP platform, Bruker announces an expanded protein panel to spatially profile 1000 proteins in addition to the entire transcriptome. This marks a significant evolution of GeoMx into a powerful multiomic platform with the capability of simultaneous, same-section, multiomic analysis of the whole transcriptome and 1000 proteins. Taking the already uniquely unprecedented multiomic plex levels to even higher levels, further differentiating the meaning of multiomic, will enable an even more complete picture of complex biological pathways. The 1K Panel on the GeoMx is expected to ship this summer.
Unlocking the 3D genome with PaintScape

PaintScape image from a 578-plex, genome-wide jebFISH powered study of chromosome architecture in a human cell line
Bruker’s new PaintScape platform opens a new frontier in the field of spatial biology. Leveraging unique jebFISH™ technology, PaintScape enables researchers to perform multiplexed, direct visualization of genome architecture and chromosomal structure in individual single cells with ultra-high spatial resolution. By providing a detailed view of the 3D genome, PaintScape empowers researchers to understand how genome structural variations impact gene expression and their implication in the mechanisms of disease.
"The introduction of PaintScape marks a new milestone in the history spatial biology," said Mark R. Munch, Ph.D., President of the Bruker Nano Group. "With PaintScape, we now offer researchers the unique and unprecedented ability to elucidate aspects of dysregulation of cellular programs leading to changes in gene expression. PaintScape is opening a new window in fundamental and medical discovery science."
CellScape with new software engine to improve throughput and data quality

Human cerebellum FFPE tissue assayed on CellScape with EpicIF technology and PowerOMX
Bruker announces enhancements to its CellScape platform for spatial proteomics with the PowerOMX™ Engine. PowerOMX is the data engine powering CellScape’s EpicIF technology and seamlessly feeds data to the recently launched CellScape Navigator GUI. PowerOMX includes streamlined data acquisition, processing, and reconstruction workflows resulting in improved throughput, image processing, and data integrity. CellScape instruments with PowerOMX will begin shipping immediately, and installed instruments will be eligible for upgrades.
“Building on the recently launched improvements to the CellScape platform, including the transformational EpicIF technology and CellScape Navigator software, PowerOMX represents another big step forward on this spatial proteomics platform,” said Oliver Braubach, Ph.D., Director of R&D for Bruker Spatial Biology. “With PowerOMX, researchers can harness the full potential of the EpicIF technology with faster data acquisition and processing, and best-in-class data reconstruction and image processing.”
Enhanced customer support programs and collaborations to accelerate productivity with new spatial biology technologies
Bruker additionally plans to announce the launch of the Sapphire Spatial Program, a new premium suite of services designed to provide an unparalleled customer experience for advanced, high-throughput CosMx SMI users. Customers will have access to a dedicated concierge, performance monitoring tools with personalized guidance from spatial experts, and advanced post-run analytics. The program is in its pilot stage with a broader expansion planned for later this year.
Bruker Spatial Biology also plans to announce the extension of their collaboration with Weill Cornell Medicine on the Spatial Atlas of Human Anatomy (SAHA) initiative, to create multicellular, single-cell, and sub-cellular maps of 30 non-diseased organs from a healthy and diverse population of adults. “High-resolution spatial data sets from SAHA are re-defining how we see human cells, tissues, and interactions. I look forward to continuing this work and making these data publicly available,” said Chris Mason, Ph.D., Professor of Physiology and Biophysics at Weill Cornell Medicine.
Dr. Mason, who previously served on NanoString’s Scientific Advisory Board before the company’s acquisition by Bruker, has no financial interest in Bruker.
Additionally, Bruker Spatial Biology will be launching an educational best practice sharing workshop starting in March named the “ Galaxy Spatial Tour.” Scheduled worldwide, Galaxy Spatial Tour events will provide an opportunity for customers to directly connect with Bruker’s spatial biology experts.
Join Bruker at AGBT 2025
Bruker will share more details on these innovations at the AGBT General Meeting in their hospitality suite Osprey 10 and in a workshop “Expanding the Limits of Spatial Biology: Comprehensive Integrated Technologies for Spatial Multiomics”, on February 26, 2025, at 12:15 PM EST. Demonstrations of the entire suite of Bruker Spatial Biology platforms including CosMx and WTX, GeoMx, CellScape, and PaintScape will showcase the transformative potential of these spatial biology technologies.
For more information about Bruker Spatial Biology and its innovations, please visit www.brukerspatialbiology.com.


