Know your target: How to achieve research success with knockout models
Dr. Hanna Dreja explains the integral role of KO cell lines in ensuring confidence in results and quality control
28 Jun 2020
In this expert interview, we speak with Dr. Hanna Dreja, who leads the scientific quality control team at Abcam. Here, Dreja explains how her team uses knockout (KO) material to continuously reevaluate and audit Abcam’s product catalog and ensure that any new products reach customers at the highest specificity and quality. Plus, find out how to achieve experimental success when developing your own KO models with Dreja’s expert tips.

Why are KO models an important tool for researchers?
The nature of research is to ask questions, and being able to trust one's experimental finding is essential. So, if you are using any form of immunoassay, being able to demonstrate that your antibody actually binds to the correct target can be incredibly valuable.
Of course, suppliers like Abcam are doing the utmost to ensure the specificity of its reagents, but what if your supplier did not perform this expensive and extensive validation? What if the antibody you are provided by a collaborator, or maybe even found in the fridge after a very long period, is not specific? Perhaps most importantly, when you come to publish your work, more and more journals require this form of validation in order to pass peer reviews and have the manuscript accepted. For these reasons, having KO samples to confirm the results of your technical experiment is proving to be very important. However, KO models can be used for more than just technically validating your experiments; they can be part of your biological query.
Every biological event in the cell involves proteins. So, looking at the phenotype of cells that are lacking a protein of interest could provide a lot of new findings and revelations. If you were interested in the function of a protein, exploring what happens in a sample where that protein is not present is a great way of providing an initial idea of what is happening. For example, if you're interested in what effect the lack of your chosen kinase has, you can ask: ‘Will the target be modified by other enzymes?’ Or ‘What if you used cells without a certain transcription factor?’ There are a lot of downstream answers that can be had by not expressing particular proteins anymore.
An additional use case would be to reintroduce the gene of interest with a mutation that you are interested in. For example, what effect do the different phospho-sites in NF-kB p65 have? You could transfect a cell line that does not express that endogenous protein with the mutated gene of interest. I can envisage that the usage of this covers a very broad spectrum of requirements, including basic research, assay development in the biotechnology industry, and pharmacogenomic applications such as discovering targets, recapitulating diseases, or testing specific drugs.
KO models can be used for more than just technically validating your experiments; they can be part of your biological query.
What are the biggest challenges for users of KO models?
The advantage of using KO samples is, firstly, that they can help answer biological questions of interest and secondly, that they offer perfect technical controls. However, if you are to go and create KO models yourself, there are a number of different things that you should consider.
One important consideration is the cell line or wild-type background – is it suitable for answering your biological question? If you're interested in exploring, for example, the signaling in axonal regeneration, then using KO material that is not of neuronal origin may not help you understand what the effects are if that gene is removed. So, it is very important to know your target and understand what wild-type background would suit you best.
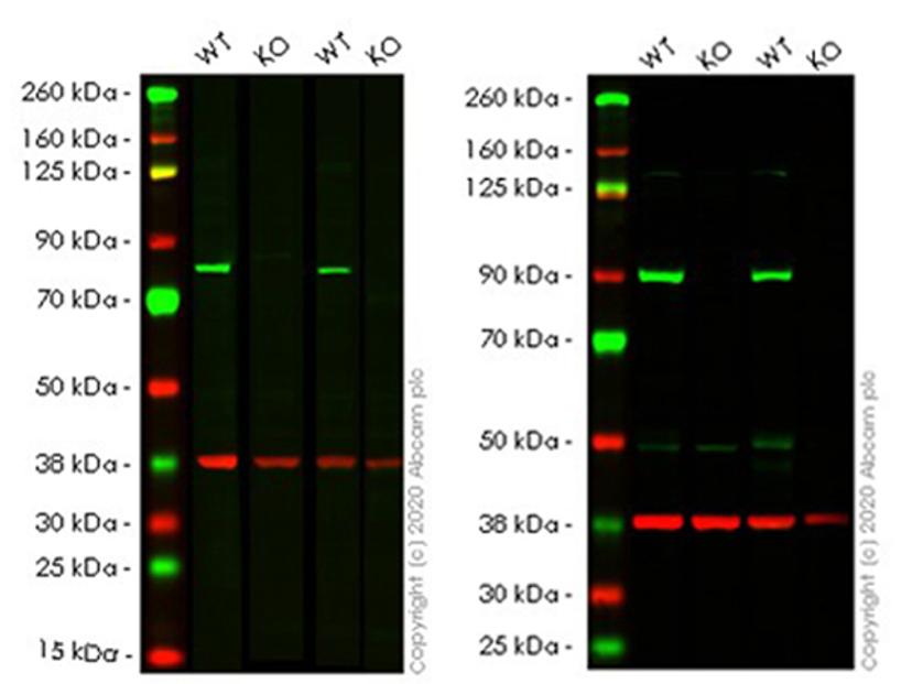
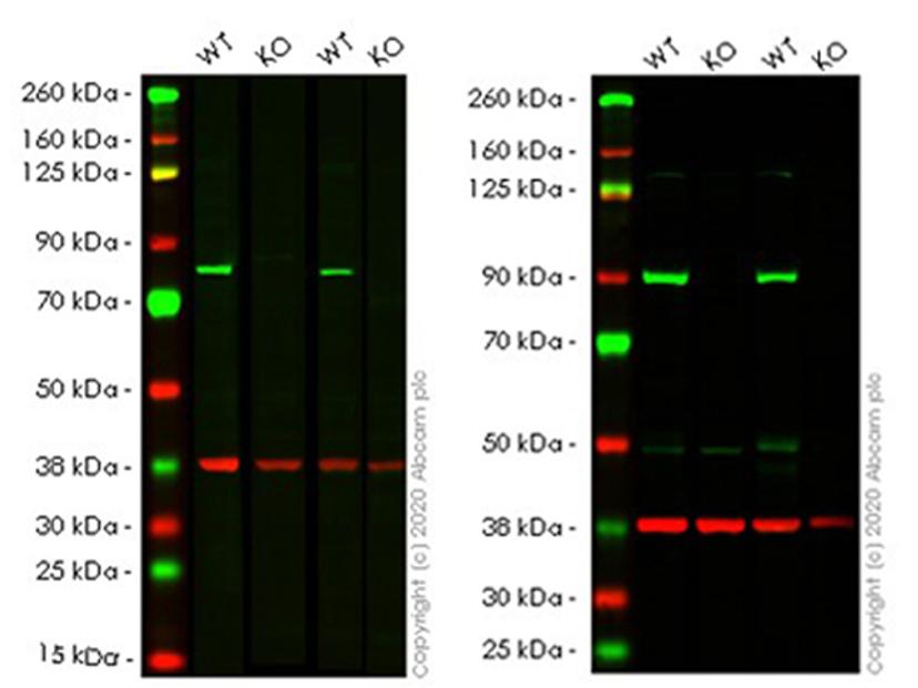
If you want to use a KO sample to demonstrate that your immunoassay is working, for example, if you perform western blots, immunofluorescences, flow cytometry, immunocytochemistry, immunohistochemistry, etc., you need to ensure that your wild-type cells express your protein at sufficient levels for the protein to be seen in your assay. This relies on both the antibody being specific and the cell background sufficiently expressing the protein for it to be detected. Additionally, it is important that you choose an antibody that is sensitive enough to allow you to demonstrate that your KO samples are indeed fully knocked out and not expressing the protein of interest.
It is also a challenge to generate KO cells for an essential gene, such as a housekeeping gene that keeps the cell alive. Obviously, if you take this protein away, the cells will not be viable. So, there are alternatives where you can temporarily remove the protein by using siRNA – a system called a Trim-Away. You could also potentially include an inducible on/off switch. However, permanent CRISPR-Cas9 silencing is likely not the answer for these cases.
If you want to make your own KO material, ask yourself how you will validate it. Ensure you have the proper controls in place and, if you have a sample where you know the protein is not expressed, this is useful as an internal negative control for your newly generated KO sample.
What are the benefits of Abcam’s KO cell line portfolio?
Know your target
Dreja’s top tip for making the most of your KOs is to know your target. “Ensure that the cell background suits your needs and ask yourself whether your wild-type expresses a sufficient amount of the protein of interest for you to visualize this in your immunoassay,” Dreja explains, “It all goes back to knowing your target. It's super important.”
Abcam now offers KO cell lines, as well as KO cell lysates, which can be used directly on a western blot or in an ELISA, for example. Our KO cell lines provide reproducible single-gene KOs that support the interrogation of the relationship between the genotype and the phenotype. Obtaining high-quality KO cell lines and lysates can be technically challenging and time-consuming. So, having a reliable ready-to-use source of KO cell lines allows researchers to confidently progress target identification and validation without the need to first establish a KO cell line. Our KO cell line collection provides the global scientific community with a wide range of KOs in the commonly used immortalized cancer cell lines, such as HeLa and HEK 293T, and we will be expanding this range with new targets and cell line backgrounds.
What do you see for the future?
Abcam aims to increase its gene-edited cell line portfolio to give researchers immediate access to a wider range of pre-validated, CRISPR-Cas9 engineered KO cell lines to support target identification and validation, pathway discoveries, antibody screening and validation, compound hit identification and validation, as well as the CIS model development.
There are a lot of opportunities to help our customers to reduce their experimental preparation. Removing that need for their own in-house CRISPR-Cas9 or molecular biology expertise means that working with KO cell lines and lysates becomes as easy as buying a new reagent. We believe that this would help customers and scientists make discoveries faster.
Hear more from the knockout experts:
- Speeding the transition from bench to bedside with CRISPR/Cas9 – Dr. Karine Enesa
 - Breakthroughs in guide RNA: Creating successful CRISPR-Cas9 knockouts – Dr. Yongwon Kwon
 
Want to know how to effectively harness KO validation for reproducible research? Register for this free webinar from Dr. Hanna Dreja>>
External resources

