BaseScope™ Assays
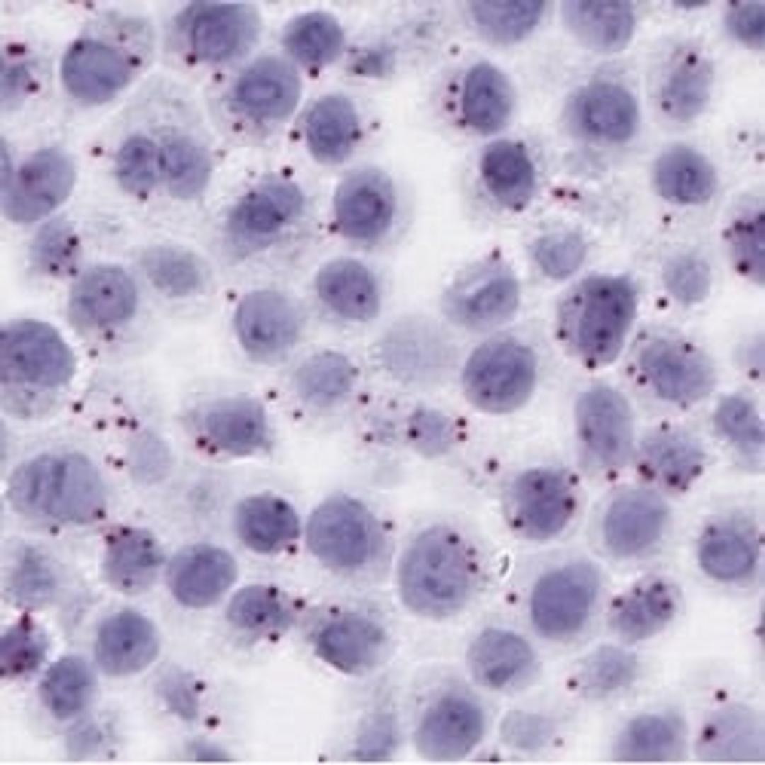
The BaseScope™ Assay is a unique product from ACD, based on the same platform of proven and established RNAscope™ technology that has been cited in over 2300 publications. This powerful assay provides new data dimensions and unique insight into biological mechanisms. The BaseScope™ Assay enables applications such as the detection of exon junctions/splice variants, short/highly homologous RNA sequences (50-300 bases), and poin…

The supplier does not provide quotations for this product through SelectScience. You can search for similar products in our Product Directory.
The BaseScope™ Assay is a unique product from ACD, based on the same platform of proven and established RNAscope technology that has been cited in over 2300 publications. This powerful assay provides new data dimensions and unique insight into biological mechanisms. The BaseScope™ Assay enables applications such as the detection of exon junctions/splice variants, short/highly homologous RNA sequences (50-300 bases), and point mutations at single cell sensitivity. The BaseScope Singleplex asay is also available on automated plaforms.
The BaseScope™ Reagent Kit v2-RED, is based on ACD’s patented signal amplification and background suppression technology. The assay uses a novel and proprietary method of in situ hybridization (ISH) to visualize single RNA molecules per cell in a multitude of sample types mounted on slides. The BaseScope™ Assay is used for the detection of short RNA targets (50-300 bases), highly homologous sequences, RNA mutations, and exon junctions for the detection of splice variants, circular RNA, and gene fusion. The BaseScope™ Assays do not require an RNase-free environment that is used for traditional RNA ISH. The BaseScope™ Assay leverages the same platform as proven and established within the RNAscope technology but expands the detection capabilities and throughputness on automated platforms such as Leica Bond RX and Ventana Discovery Ultra.





















