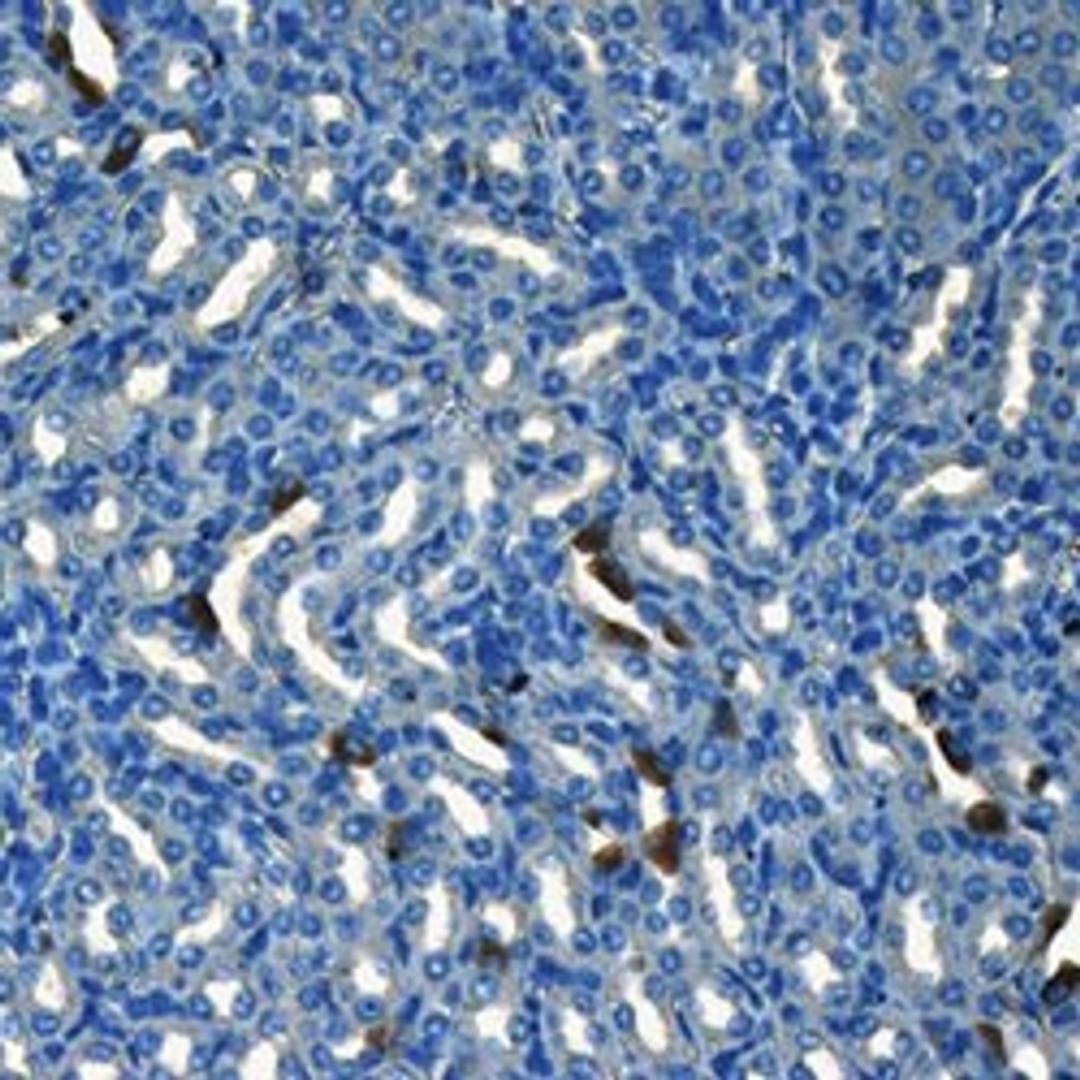
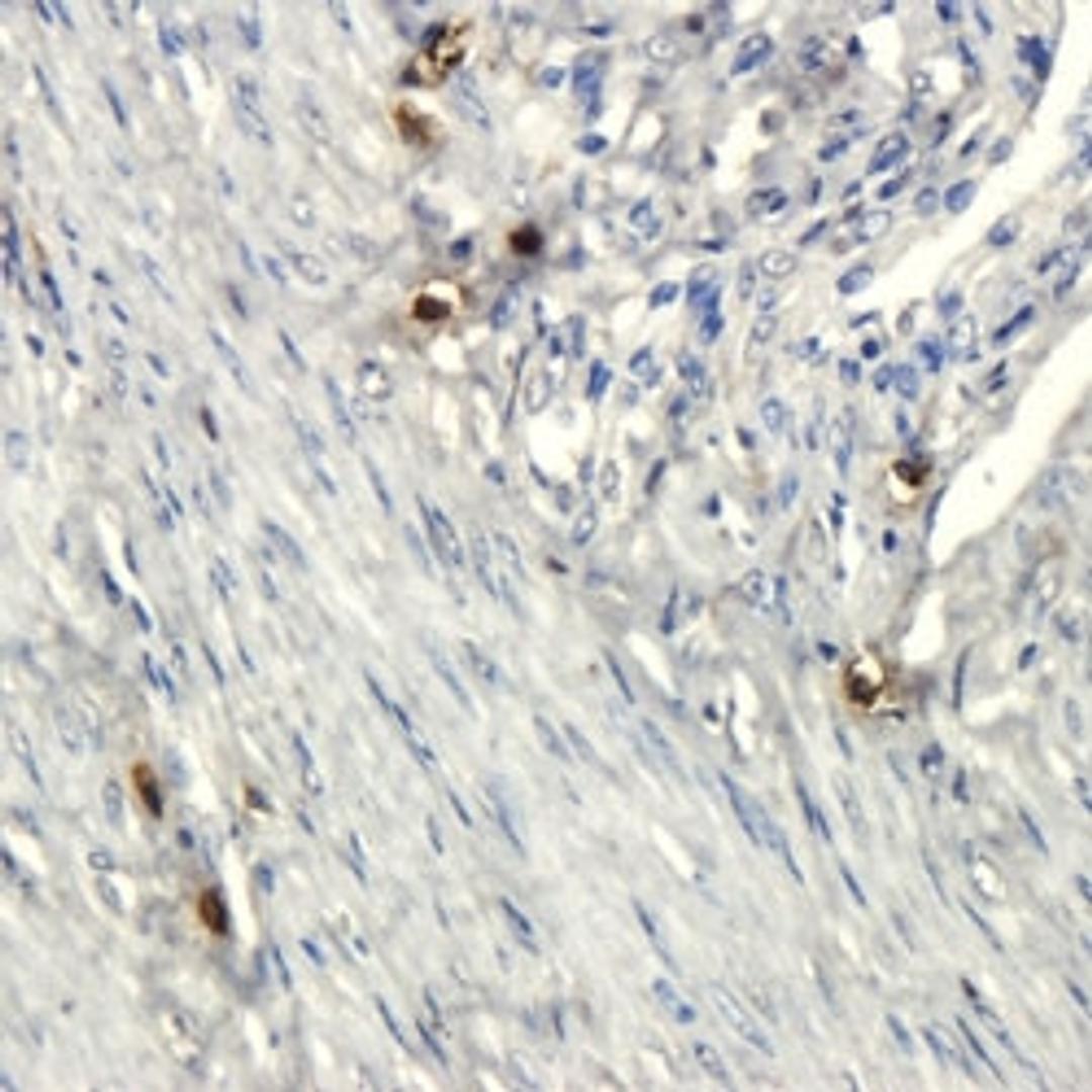
CD133 antibody
Rabbit polyclonal antibody to CD133; which is also known as prominin or AC133. CD133 is a marker frequently found on multipotent progenitor cells; including immature hematopoietic stem and progenitor cells. The protein has been extensively used as a stem cell marker for normal and cancerous tissues.

The supplier does not provide quotations for this product through SelectScience. You can search for similar products in our Product Directory.
Best CD133 antibody on the market.
Analysis of tissues for presence of stem cell popultations
We have used this CD133 antibody for quite some time, as it gives us highly reproducible results and easily identified staining. The concentration ratio allows us to do multiple sets of slides with the same lot and produces pulication quality results every time.
Review Date: 4 Sept 2020 | Biorbyt
Great products. Easy to contact and fast shipping. Customer service is very helpful.
Molecular biology
The product is very effective and I was advised by the lab technician to use this product for its effectiveness.
Review Date: 15 Apr 2019 | Biorbyt
Rabbit polyclonal antibody to CD133; which is also known as prominin or AC133. CD133 is a marker frequently found on multipotent progenitor cells; including immature hematopoietic stem and progenitor cells. The protein has been extensively used as a stem cell marker for normal and cancerous tissues.
- Clonality Polyclonal
- Host Rabbit
- Reactivity Human, Rat
- Conjugate Unconjugated
- Isotype IgG
- Gene 8842
- Quantity 100 µg; 200 µg
- Format NULL
- Storage After reconstitution store at 4°C.for up to two weeks. For long term storage; aliquot and store at -20°C. Avoid freeze/thaw cycles.
- Buffer 10 mM PBS; 0.02% sodium azide; 10 mg/ml BSA
Applications: Immunohistochemistry (Paraffin-Embedded Sections) (IHC (P)), Western Blotting (WB)
























