GPCR Signaling V2 Image Analysis BioApplication
GPCR Signaling V2 is a high-content image analysis application for quantitation of the activation of G-protein coupled receptors. Classifies cells into different phases based on pattern of receptor complex distribution and reports details of and percentage of cells with Type A and Type B recycling activity. This application has been biologically validated, enhancing confidence in your image-based data. Available for the Cel…
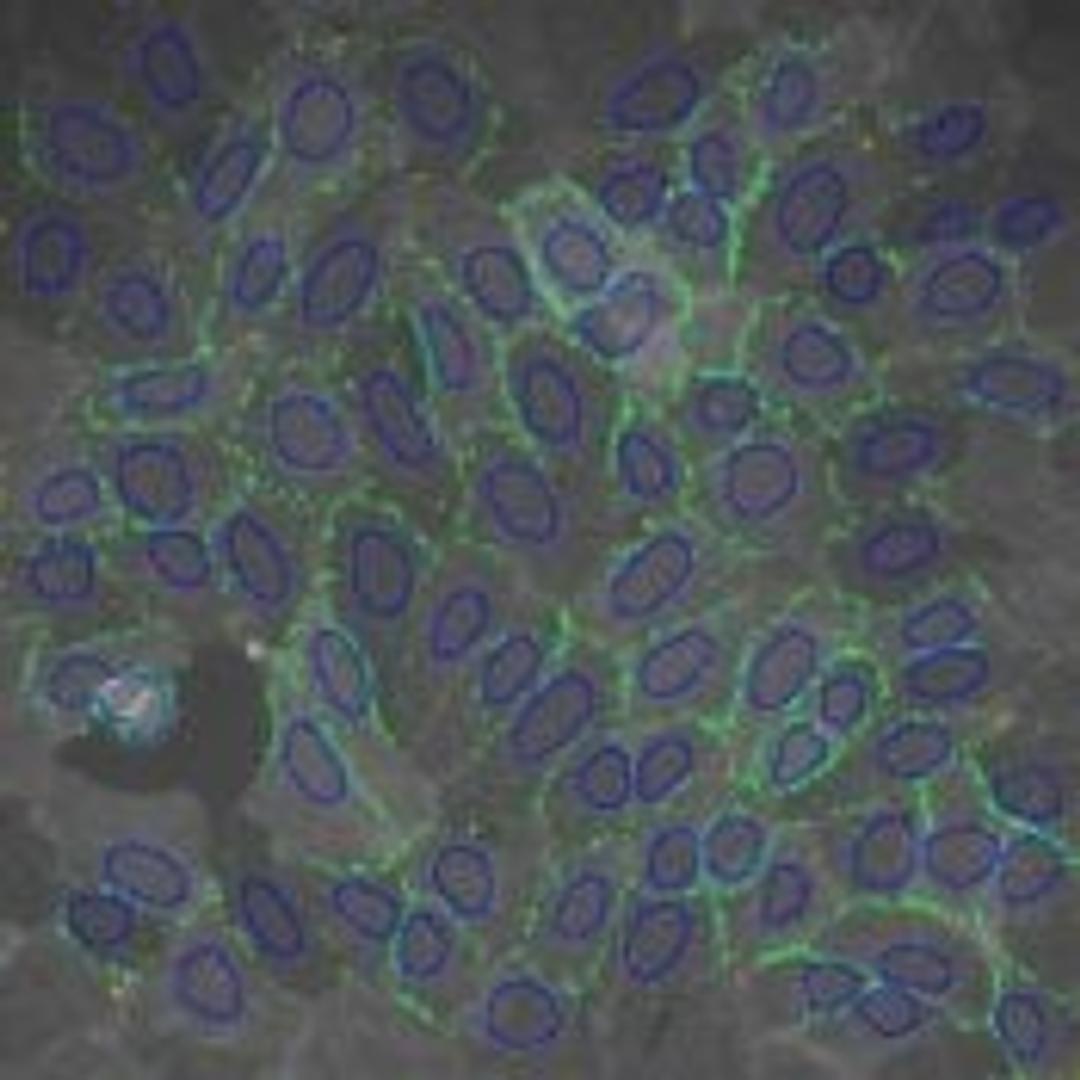
GPCR Signaling V2 is a high-content image analysis application for quantitation of the activation of G-protein coupled receptors. Classifies cells into different phases based on pattern of receptor complex distribution and reports details of and percentage of cells with Type A and Type B recycling activity.
This application has been biologically validated, enhancing confidence in your image-based data. Available for the Cellomics ArrayScan VTI, ArrayScan x.5, and KineticScan platforms.

















