Products & ReviewLife Sciences
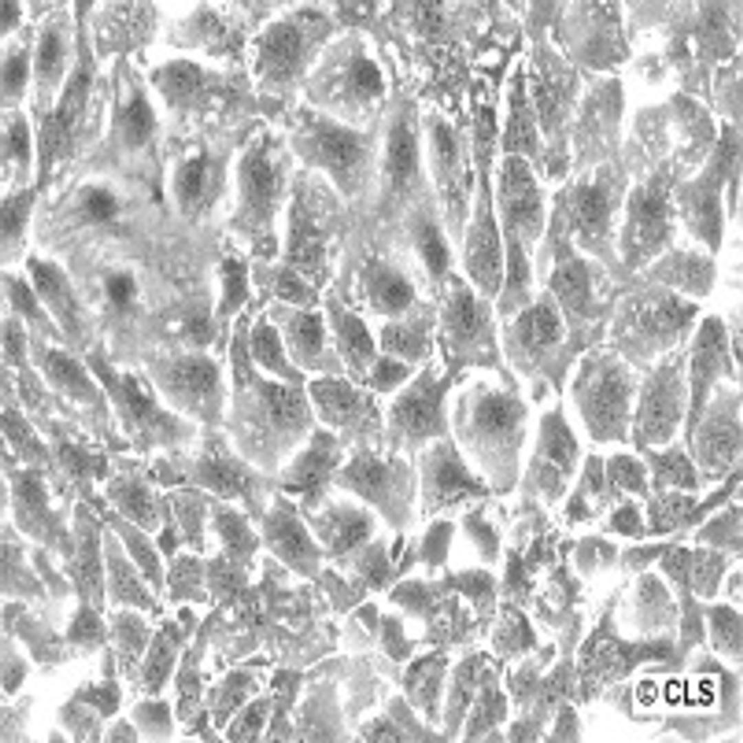
SK-OV-3
Cell Lines Service GmbH300342
Human Ovary adenocarcinoma cell line. Frozen cryovial. 2 Mio. cells/ml.

The supplier does not provide quotations for this product through SelectScience. You can search for similar products in our Product Directory.
Organism: Homo sapiens (human)
Ethnicity: Caucasian
Age: 64 years old
Gender: Female
Tissue: Ovary (Ascites)
Morphology: Epithelial
Cell type: Adenocarcinoma
Growth Properties: Monolayer, adherent
Description: Derived from the ascitic fluid from a 64 year old caucasian female with an ovarian tumour. SK-OV-3 cells are resistant to tumor necrosis factor and to several cytotoxic drugs including diphtheria toxin, cis- platinum and adriamycin. Forms moderately well-differentiated adenocarcinoma consistent with ovarian primary cells.

















