Products & ReviewLife Sciences
Viscover Micro-CT Contrast Agents - ExiTron™
ScinticaAvailable: North America
Viscover provides the broadest portfolio of imaging agents tailored for your pre-clinical micro-CT studies.
Viscover provides the broadest portfolio of imaging agents tailored for your pre-clinical micro-CT studies.
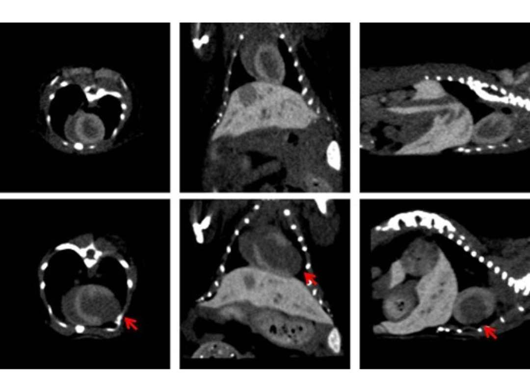
ExiTron contrast agents have been specifically developed to provide micro-CT with long sought-after soft-tissue contrast. Novel nanomaterials help extend the application of any micro- CT far beyond mere bone scans.
A unique portfolio to meet the demands of CT
Our innovative ExiTron agents enable targeted high resolution imaging of tumors and organs with ease.
- Exceptional high-resolution CT angiography
- Long-term organ-specific (liver/spleen) imaging
- Monitoring of cardiovascular pathologies
- Tumor vascularization and angiogenesis studies
- Imaging of brown adipose tissue
- PET/CT imaging studies with enhanced soft-tissue CT contrast
- Therapeutic efficacy monitoring


















