Roche improves speed and accuracy of non-small cell lung cancer diagnosis with launch of automated digital pathology algorithm
Faster, more accurate diagnoses are critical with non-small cell lung cancer, which accounts for about 85 percent of all lung cancer cases
20 Jul 2020
Roche has recently announced the CE-IVD launch of its automated digital pathology algorithm, the uPath PD-L1 (SP263) image analysis for non-small cell lung cancer (NSCLC). The algorithm provides pathologists with automated assessments of scanned slide images that are objective and reproducible and have the potential to aid diagnosis and, ultimately, targeted treatment options for patients.
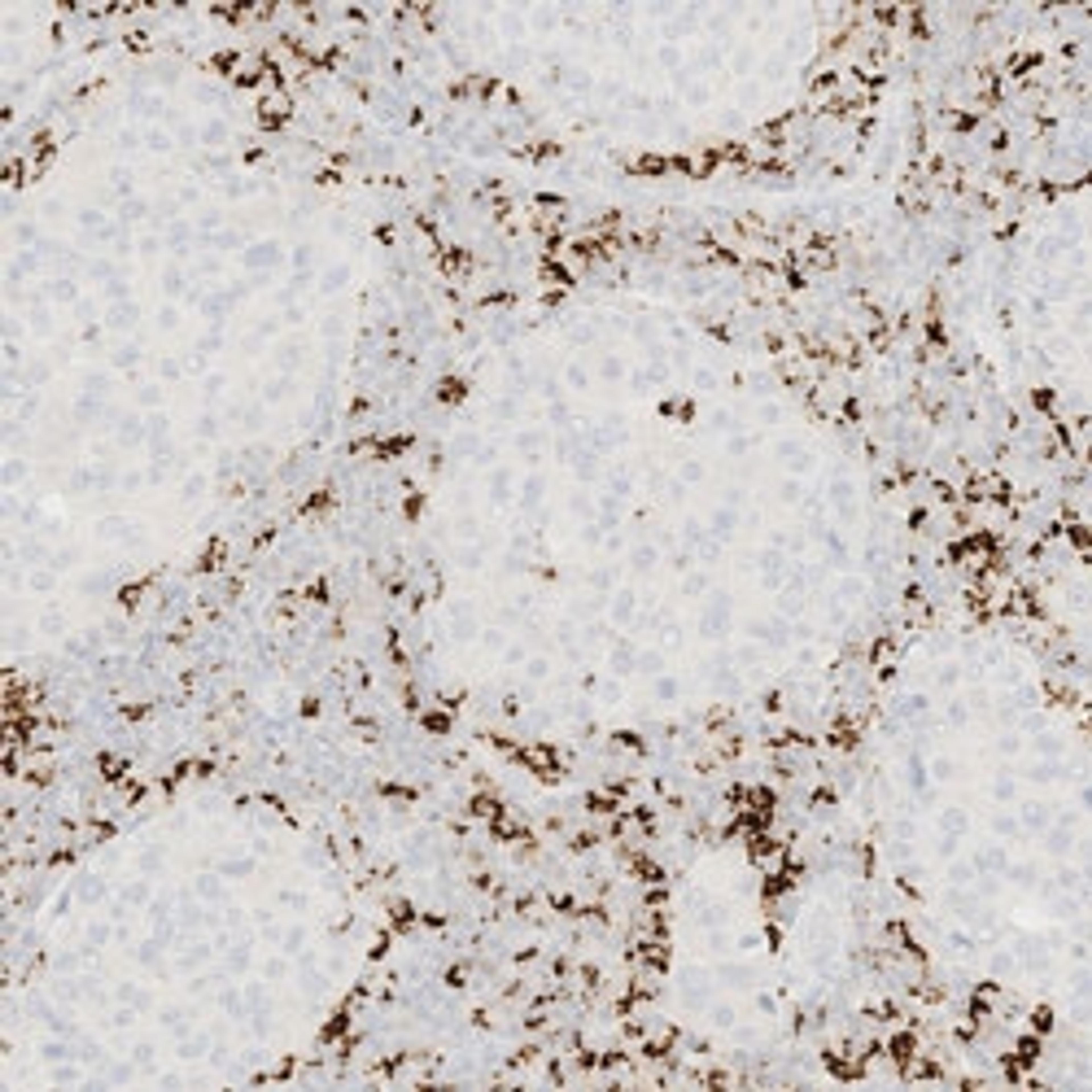
Validated on the VENTANA PD-L1 (SP263) Assay, the algorithm is ready-to-use and integrated within the Roche uPath enterprise software, a universal digital platform for case management, collaboration and reporting. This algorithm will help pathologists to quickly determine whether tumors are positive for the PD-L1 biomarker, highlighting positively and negatively stained tumor cells with a clear visual overlay for easy reference. Patients with tumors that are positive for the PD-L1 biomarker may be eligible for targeted treatment.
“Improving diagnostic consistency and certainty is crucial in providing faster, higher-quality and more accurate diagnoses to cancer patients,” said Thomas Schinecker, CEO, Roche Diagnostics. “Our uPath PD-L1 (SP263) image analysis for non-small cell lung cancer is the first next-generation CE-IVD PD-L1 algorithm to the clinical market. It expands on our growing digital pathology suite for VENTANA assays that aid physicians in providing the most accurate treatment decisions for patients with the most common type of lung cancer.”
The algorithm’s whole-slide automated analysis uses artificial intelligence to provide, with one-click, an actionable assessment of the scanned slide images that is objective and reproducible. The uPath PD-L1 (SP263) image analysis (NSCLC) algorithm for digital pathology is for use on uPath enterprise software.
About uPath image analysis algorithm suite
The uPath image analysis algorithm suite for pathology decision support offers ready-to-use image analysis tools, providing fast, consistent and automated analysis so that pathologists can quickly, accurately and confidently assess immunohistochemistry/in situ hybridization and hematoxylin and eosin-stained slides. This launch of uPath PD-L1 (SP263) image analysis for non-small cell lung cancer follows the January 2019 release of the Roche uPath enterprise software. All algorithms in the suite for uPath software will provide image analysis of VENTANA DP 200 scanned slide images stained with a Roche tissue assay. Together, Roche is delivering a new foundation of its digital pathology solution which will enable the development of artificial intelligence-based image analysis algorithms that can provide pathologists more tools to improve efficiency and precision.
Roche is delivering the end-to-end digital pathology solution from tissue staining to producing high-quality digital images that can be reliably assessed using automated clinical image analysis algorithms. Roche minimizes the variables that can impact analysis, and it is this end-to-end development that produces the quality results customers can depend on for making clinical decisions. With the acceleration of immunotherapy and the development of more complex assays, Roche is moving these traditionally research-oriented tools into routine clinical practice.
About the uPath PD-L1 (SP263) image analysis for NSCLC algorithm
The uPath PD-L1 (SP263) image analysis for NSCLC algorithm is intended for use as an aid to the pathologist in the detection and semi-quantitative measurement of PD-L1 protein in formalin-fixed, paraffin-embedded NSCLC tissue. When used with the CE-marked VENTANA PD-L1 (SP263) Assay, it is indicated for use as an aid in identifying patients for treatment with therapies with the ≥ 50% PD-L1 TC positivity cutoff in accordance with the approved therapeutic product labeling. It is intended for in vitro diagnostic use as an aid to the pathologist in the display, detection, counting, review and classification of tissues and cells of clinical interest based on particular morphology, color, intensity, size, pattern and shape.
About non-small cell lung cancer
Lung cancer is the leading cause of cancer death globally. Each year, 1.76 million people die as a result of the disease, translating into more than 4,800 deaths worldwide every day. Lung cancer can be broadly divided into two major types: NSCLC and small cell lung cancer. NSCLC is the most prevalent type, accounting for about 85% of all cases. NSCLC comprises non-squamous and squamous-cell lung cancer, the squamous form of which is characterized by flat cells covering the airway surface when viewed under a microscope.
For more of the latest science news, straight to your inbox, become a member of SelectScience for free today>>
