E11
Murine Kidney podocyte cell line. Frozen cryovial. 2.5 Mio. cells/ml.

The supplier does not provide quotations for this product through SelectScience. You can search for similar products in our Product Directory.
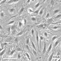
Murine Kidney podocyte cell line E11
Organism: Mus musculus (mouse)
Stage: Adult
Strain: Immorto-Mouse H-2kb-tsA58
Tissue: Kidney
Cell type: Podocyte
Growth Properties: Monolayer, adherent
Description: The E11 cell line has been cloned from the outgrowth of glomeruli which were isolated from H-2kb-tsA58 transgenic mice. The mice carry a temperature-sensitive variant of the SV40 large T antigen under control of the IFN-g-inducible H-2kb promoter. At present, the cells have been cultured successfully for more than 40 passages without noting phenotypic changes.

















