Products & ReviewLife Sciences
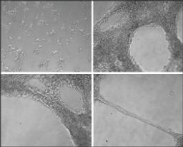
ECM Gel from Engelbreth-Holm-Swarm murine sarcoma
liquid, BioReagent, suitable for cell culture

The supplier does not provide quotations for this product through SelectScience. You can search for similar products in our Product Directory.
ECM gel can used with epithelial cells, endothelial cells, muscle cells, nerve cells and tumor cells.

















