Products & ReviewLife Sciences
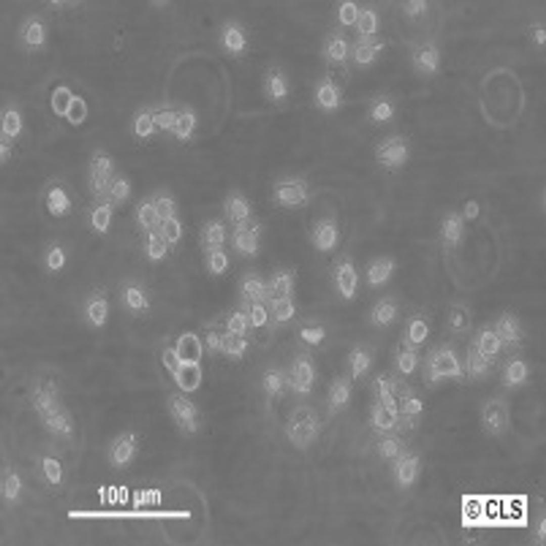
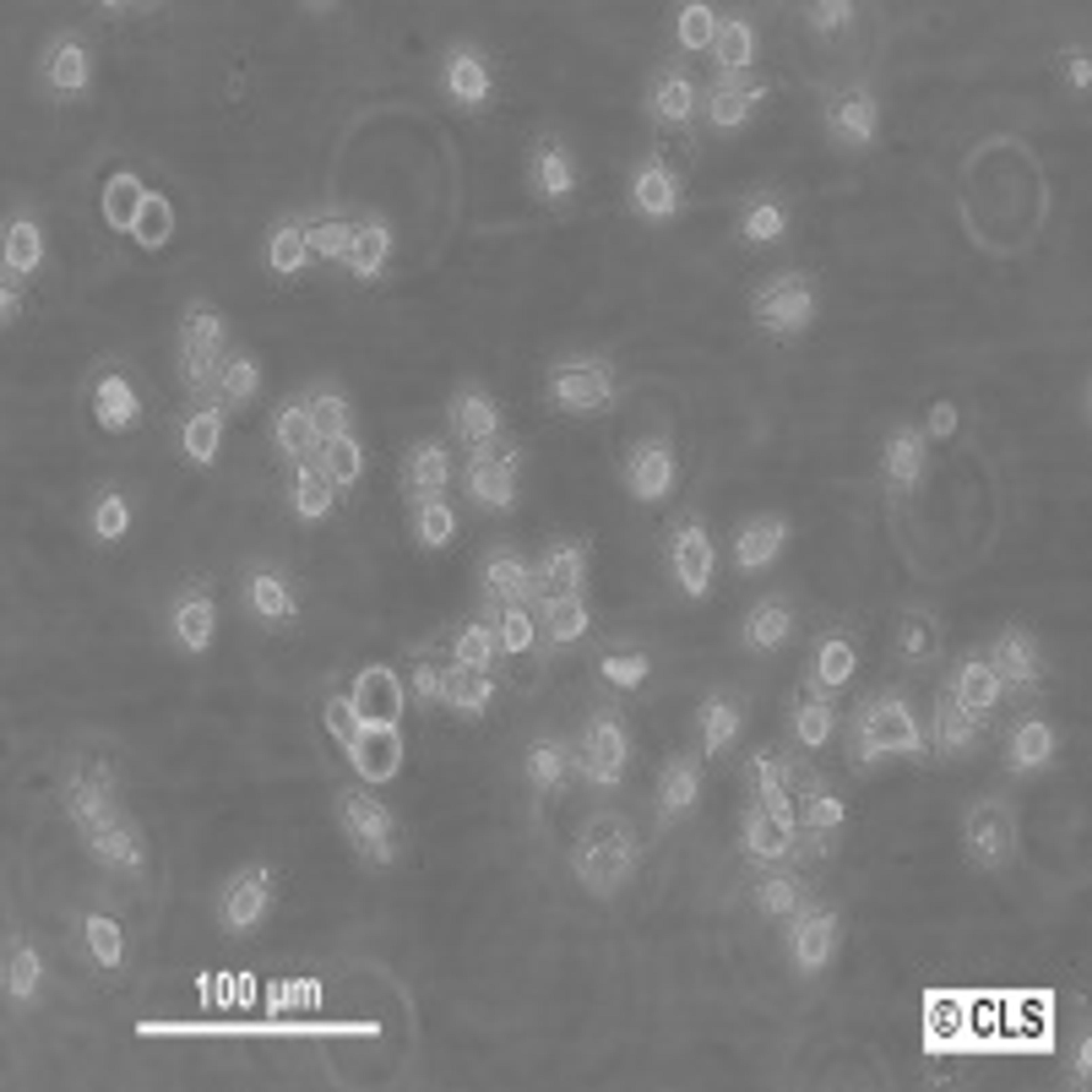
U937
Cell Lines Service GmbH300368
Human Lymphoma cell line. Frozen cryovial. 6 Mio. cells/ml.

The supplier does not provide quotations for this product through SelectScience. You can search for similar products in our Product Directory.
Human Lymphoma cell line U-937
Organism: Homo sapiens (human)
Ethnicity: Caucasian
Age: 37 years old
Gender: Male
Tissue: Lymphoma, histiocytic
Morphology: Round cells
Cell type: Monocyte-macrophage; histiocyte
Growth Properties: Suspension

















